Community

전후화보사진

전후화보사진

바이브에서 수술한 고객분들의 생생한 전후화보사진을 만나보세요

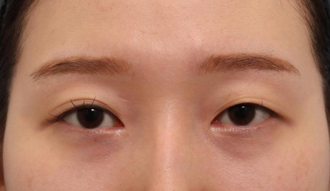
눈코재수술 성공후기에용

작성자: 이예승 작성일: 2022.07.08

photo_2022-07-08_15-36-34__2_.jpg

photo_2022-07-08_15-36-33.jpg

photo_2022-07-08_15-36-34.jpg

photo_2022-07-08_15-36-35__2_.jpg

photo_2022-07-08_15-36-34__2_.jpg

photo_2022-07-08_15-36-35.jpg

바이브성형외과에서

눈 , 코 재수술 2주 된 후기입니당


쌍꺼풀은 10년전에 매몰로 한번 수술 했었고

코는 3번째 수술이었어요 ..

10년이면 강산도 변한다는데

제 쌍꺼풀도 잘 버텨줬지만

왼쪽 쌍꺼풀이 엄청 풀려서

재수술은 절개로 마음먹었어요.


코수술은 첫번째 두번째 까지는

같은 병원에서 했었는데

코끝도 계속 처지고 매부리도 별로 효과가 없어서

두번이나 수술한 코로는 안 보이는 자연스러움이었어요 ^^

그래서 쌍꺼풀 하는김에 코수술까지

같이 해야겠다고 생각하고 손품을 팔았어요.

그 중 재수술 잘하기로 유명하고

화려한 코가 딱 제스타일이였던

바이브성형외과로 결정하게 되었습니다


눈코 같이 수술하고 일주일 동안 힘들었지만

부목 떼자마자 베일 것 같은 콧대가 너무 마음에 들어서

힘들었던 기억이 싹 사라졌어요 ㅎㅎ

기증늑으로 수술 했는데 하길 너무 잘했네요

처음 수술받자마자 붓기나 멍도 별로 없었어서

일주일만에 출근도 가능했어요 !

바이브 유영문 원장님한테

수술받길 너무 잘한것 같아요



최상단 아이콘